胎兒超音波 - 肝臟鈣化點
今天下午的高層次超音波中,有一位是意外發現肝臟鈣化點,除此之外胎兒的結構都正常。
---
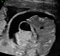
肝臟鈣化點發生率大概1/1000-1/1750。
中間有黃色量測的白點就是肝臟的鈣化點。雖然說單純的鈣化點意義不明,但是幾篇文獻都指出,排除了染色體和先天性感染的問題之後,單純的肝臟鈣化點基本上不會造成寶寶生理上的問題,出生後預後也很好。
Q1. 相關的先天性感染有哪些?
STORCH最主要 (syphilis, toxoplasma, CMV, rubella, HSV, parvovirus B19, VZV)
Q2. 相關的染色體異常有哪些?
只要有肝臟鈣化點(不管是否合併其他異常) ->染色體異常比率大約18%
常見是trisomy 13, 其他像是唐氏症或是trisomy 18等也是會發生。
Q3. 是否會合併其他超音波異常?
我們常擔心的先天性感染,像是巨細胞病毒感染或弓漿蟲之類,常會合併其他超音波的異常,如腦室擴大、腦部鈣化點、胎兒水腫等等。
染色體異常也是,通常都會合併其他超音波的異常發現。
連結傳送門: 先天性感染巨細胞病毒
https://drjessicakang.blogspot.com/2021/05/blog-post_67.html
但是重點來了!
單獨的肝臟鈣化點還是有可能合併先天性感染或是染色體異常!
所以記得還是要做檢查排除! -->也就是抽羊水驗染色體+先天性感染的血液/羊水
Q4. 是否有其他遺傳性疾病?
另外種族不同,相關的疾病也不同。西方人較常見的cystic fibrosis也被指出和肝臟鈣化點有相關,但是這個疾病在台灣人種發生率低,所以並不常一起驗。
Q5. 鈣化點位置有差嗎?
有的人認為肝臟鈣化點的位置也可以來推斷成因:
1. 在表面的鈣化點,被推斷跟胎便性腹膜炎相關,有些案例後來也被診斷合併有cystic fibrosis
2. 肝臟實質的鈣化點,和先天性感染,或是腫瘤較相關
但也有文獻認為鈣化點的位置和成因還有預後並無相關
Q6. 鈣化點數量會影響預後嗎?
如果案例有合併其他異常,鈣化點數量越多,預後越差。
如果是沒有合併其他異常的寶寶,則對預後沒有差異。


留言
張貼留言